根据新的研究,以第三人的方式跟自己交谈有助于控制情绪。
研究发现,以第三人的方式跟自己说一些话,所耗尽的心力跟一般以第一人的方式自我交谈是一样多,但在维持情绪平衡上更为有效。
根据密西根州立大学的团队,这都是为了得到一些观点,并且如同别人看自己一样来看自己。换句话说,在精神上退后一步,可以避免更极端的情绪波动。
例如,如果你心情不好(而你的名字是约翰),你可以对自己说“为什么约翰不高兴?”而不是“为什么我不高兴?”。
研究人员之一的心理学家Jason Moser说:“本质上,我们认为以第三人来提及自己,会引导民众以更类似于他们如何思考别人的方式来思考自己,而您可以在大脑中看到这个证据。”
“这有助于民众从经验中获得一点点心理距离,通常对调节情绪是有帮助的。”
进行了两次实验。在第一次实验中,37名学生表现出中性和令人不安的样子,然后被要求以第一人和第三人的方式在脑中对它们做出反应,透过脑波图(electroencephalography,EEG)来监视他们的大脑活动。
脑波图读数显示,当看到令人不安的样子时,当时使用第三人的方法,大脑中的情绪活动会降得非常快,不到一秒钟。
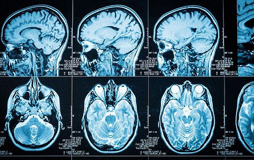
第二项实验涉及到52名志愿者,被要求反省过去痛苦的经历,再次使用第一人和第三人的语言来自我交谈。这次使用功能性的核磁共振(functional magnetic resonance imaging,fMRI)来监视大脑活动。
研究人员发现,第三人的自我交谈会导致大脑连结到涉及个人痛苦情绪区域的活动较少,这个区域在前额叶皮质(prefrontal cortex)内侧附近。
事实上,这两项实验显示,第一人自我交谈与第三人自我交谈花掉相同数量的精神奋发是很重要的。如果它耗出的能量多于收回,那么它无法充当一种治疗方法。
研究人员表示,需要进一步研究,在以第三人的自我交谈和情绪调节之间建立起更明确的连结。但早期的迹象是好的:让民众以某种方式来和自己交谈,不需要昂贵的设备,不需要药物,也不需要专家训练。
最后,这个团队还提到和以前的研究工作的相似之处。研究语言的使用和我们表达某些事物如何能够影响我们对它的情绪反应,这不是一个困难的诀窍,但似乎是有效的。
研究人员之一的Ethan Kross说:“对于我们对自我控制如何运作的基本了解、以及对于如何帮助民众控制他们日常生活的情绪,这些研究成果有很多的重要含意。”
这项研究发表在科学报道期刊(Scientific Reports)。

!评论内容需包含中文