1971年,加州的Rosicrucian博物馆从Neiman-Marcus那边取得两个密封的古埃及棺材。其中一个棺材内装着一具保存极好的木乃伊。
棺材的题词中写说这男子是名为Usermontu的祭司,据目前的推测,他的生存期间是新王国(New Kingdom)的第18、19或20王朝,此时期常被称为“帝国时代”。这个时代非常繁荣,有很多军事领地,也有许多强大的法老。
将近20年之后,1998年,杨百翰大学(Brigham Young University)的科学团队,在埃及学家兼古经文教授C. Wilfred Griggs的带领下,对博物馆的六具木乃伊进行DNA研究,其中包括Usermontu的木乃伊。
推荐文章: 这些网站可能会让你买到假的演唱门票! 想看酷玩乐团的粉丝要小心了!
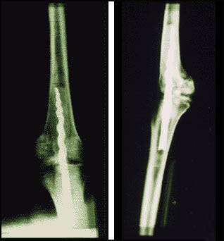
研究期间,他们有了惊人的发现:在Usermontu 的左膝中发现了一根9英寸(23公分)的金属螺丝钉,它连接着大腿和小腿,证明将近2600年前就曾实施先进的外科手术。
科学家认为,棺材里的这名男子还活着的时候是个有钱的贵族,因为只有5%的埃及人付得起昂贵的木乃伊制作术。
科学团队发现古代有机树脂的痕迹,它固定了钉子,可媲美现代的骨水泥(bone cement),他们还发现了古代脂肪和织品的残留物。
考古学家认为,在插入这根钉子前,这位祭司可能已死亡。先前展出的所有埃及木乃伊都没有这种特征。
Usermontu棺材中的木乃伊目前在加州Rosicrucian博物馆的“来生展览厅”展出。

!评论内容需包含中文