
新研究表明,我们功能性磁共振成像技术(fMRI)的算法可能不对——研究人员在fMRI专用软件中发现一个算法错误,这个错误可能导致过去15年中关于人类大脑活动的研究变成一纸空文。
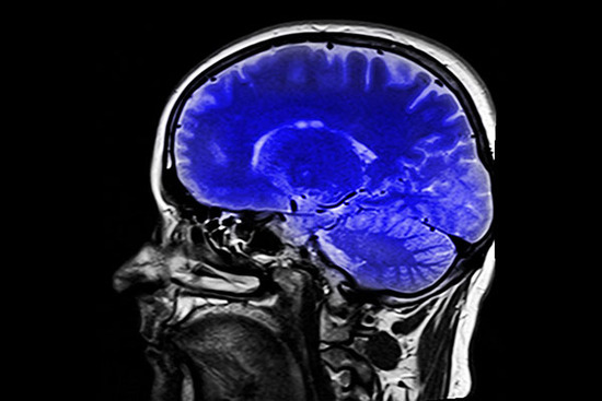
目前,研究大脑活动的最佳方式是功能性磁共振成像技术(fMRI)。fMRI是如此好用,以至于我们对其相当依赖——当然,只要fMRI准确又可靠,这也不是什么坏事。
fMRI用于观察人们运动、游戏、恋爱以及用药时大脑的变化,一旦其出现问题,多年来的科研成果都会受到质疑。为了测试fMRI的功能,来自瑞典林雪平大学的研究人员进行了一场规模史无前例的试验,然而试验结果并不乐观。
研究人员写到:“尽管将fMRI作为研究脑功能的手段十分普遍,但是其用到的统计学方法几乎从用真实的数据验证过。”
由安德斯·伦德带领的研究队采集了数据库中499名来自世界各地健康的人处于静息状态时fMRI的检查结果,并将其分成20组,之后他们将各组互相比较,得到了惊人的三百万个随机对照。他们用这些配对来测试最著名的三个分析fMRI的软件——SPM,FSL和AFNI。
研究队伍期待看到软件之间的差异(约5%),然而实验结果令他们大吃一惊:软件的假阳性率达到了70%。这意味着软件有时会错得离谱,就算大脑处于静止状态时也会显示有活动——也就是说,显示出来的活动是软件算法的产物,而不是被研究的大脑真的处于活跃状态。
“这一研究结果导致40000个fMRI研究的结果受到质疑,也可能会对神经成像结果的解释造成巨大冲击。”
他们确认其中的一项错误在15年前就已经在系统中了,2015年5月研究队伍已经开始撰写论文时,这一错误才得以改正,但是该研究依旧令那些前期基于fMRI的研究受到质疑。
那么,这一研究方法到底有什么错误呢?fMRI的工作基于一个巨大的磁场,磁场在穿过人体时会捕捉到大脑局部血流的变化,这些微小的变化代表大脑特定区域活动的增加或减少,软件也是根据这一原理进行解析的。但问题在于,观察数据时,科学家看到的不是真正的大脑——他们看到的大脑的图像由无数的“立体像素”组成,之后通过软件编译出来,理查德·查温这样对登记簿网说道。
“与人类不同,在扫描立体像素时,软件寻找的是集束,”Chirgwin说,“如果有人说‘科学家知道接下来会动一动胳膊:图像就是证据’时,他们其实是在对统计学软件告诉他们的信息进行解析。”
由于fMRI使用价格较高,研究使用的样本量通常较小,也只有极少(如果有的话)的研究会进行验证性试验以确认结果。目前,可用于验证的手段也十分有限。
fMRI自90年代初投入使用后,在确认试验结果时,神经科学和心理学家就面对着巨大的挑战。但是Eklund相信随着fMRI的检查结果可以在网上自由获取,以及确认方法的不断发展,确认性试验会越来越多,人们也会及早发现软件中的错误。
“过去用一台电脑分析结果可能会需要10到15年的时间,”伦德说,“如今,由于显卡的使用,分析所需的时间从10年降到20天。”
那么40000篇可能有问题的论文怎么办?我们能做的只有重复试验,看看哪些是对的哪些是错的。

!评论内容需包含中文