
近期出刊的神经病理学期刊中的一篇报告指出,日本外科医师日前从一名青少女的卵巢,取出了一个小型畸形的脑、骨头还有头发。原本以为是一般的手术,却演变成了从青少女腹部拉出了这个长达10公分的 “怪物”。
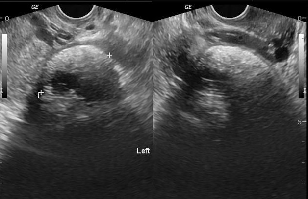
这群日本外科医师原本只是要对这名16岁的女病患进行盲肠切除手术,却发现她其中一个卵巢长了肿瘤,里面甚至还有头发、骨头以及一个小小畸形的脑。

正确的学术名称为成熟囊性畸胎瘤(teratoma)。畸胎瘤是从希腊文”teratos”而来的,这个字是怪物的意思,原因显而易见。畸胎瘤是由一群体内细胞,形成不同的组织包括骨头、神经、头发甚至牙齿。通常畸胎瘤都是被包在囊肿里的良性肿瘤,很容易就能藉由手术移除。
畸胎瘤与寄生双胞胎不同,寄生双胞胎是在子宫内发育不完全的胚胎,而寄生在另一个存活下来的胚胎上,而畸胎瘤则是自身细胞分裂的结果。

跟其他癌症一样,它们是因为控制细胞成长的讯息发生了错误而导致畸胎瘤。畸胎瘤同时也会发挥像干细胞一样的功能。在这个特殊的例子中,这名日本女孩卵巢内尚未成熟的卵,并没有接受到按兵不动的指令,于是不只是女孩的卵开始分裂,这些新的细胞形成了毛发以及一层细骨头,包覆着一个类似有脑干以及小脑的脑类结构。

畸胎瘤虽然鲜少会夺命,但是神经细胞类的肿瘤却有一种特殊的风险。免疫系统将癌症视为一种威胁,所以会误把病患本身的脑细胞视为敌人。还好这名病患的免疫系统并未攻击自身的神经系统。在畸胎瘤内发现神经细胞或许没有那么罕见,但是这些细胞却自我形成神经结构则是十分罕见,尤其是这些组织可能会传递神经脉冲。
新南威尔斯大学的雷普萨门医师在接受《新科学家》的访问时提到“:一般来说,在卵巢畸胎瘤内发现神经细胞还蛮常见的,但是类似成人脑部的结构却很罕见。”

脑干在发育完全的情况下,负责维持个体生命,而小脑则是控制我们行动的关键。毫无疑问的,这名青少女体内的细胞群,离能够思考以及感觉外在的生物体还很远。
这不是日本外科医师第一次发现发育完全的畸胎瘤。在2002年时,医师从一名25岁的日本女子体内,取出了有器官、头、躯干、四肢、甚至连阴茎都开始形成的肿瘤。这一切听起来就像是恐怖电影中的情节,但是畸胎瘤却让我们了解人体的形成。
来源: Science Alert

!评论内容需包含中文