
犁鼻器:鼻子中的犁鼻器用于嗅出潜在配偶所散发出的信息素。犁鼻器存在于两栖动物、爬行动物和哺乳动物体内,但是科学家们相当肯定这一结构在人类中毫无用处。

雄性乳头:在人类子宫中,所有的人类胎儿都会发育出乳头。尽管男性的乳头没有真正的功能,部分男性能够分泌乳汁,而且患上乳腺癌。

竖毛肌:这种小肌肉位于毛囊底部,与竖毛反应有关,能导致鸡皮疙瘩。鸡皮疙瘩是帮助竖起体毛的关键,这一会创造出帮助我们祖先生存的保温层。现在的鸡皮疙瘩附带着情绪目的,比如说感觉到害怕、快乐或者愤怒的信号。

尾骨:你或许可以沿着家族树找到拥有尾巴的祖先,但是现在保留下来的只有位于脊椎底部的尾椎了。

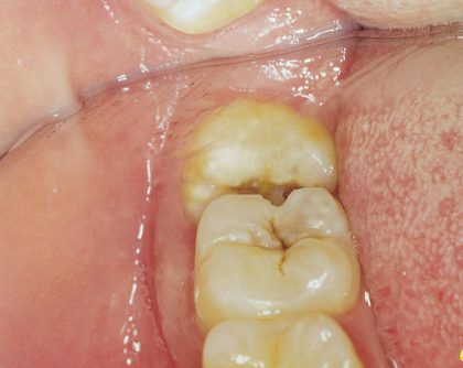
智齿:曾经这些第三臼齿很可能拥有某种功能。但是人类的嘴巴随着进化逐渐变小,通常没有那么多的空间生长这些牙齿。这就是它们经常被拔掉的原因。

阑尾:或许除了听说某人摘除阑尾的消息外,你对阑尾知之甚少。阑尾位于大小肠交汇的地方,而且似乎不再参与消化功能。研究人员认为阑尾源自于以植物为食的早期人类。现在每年都有数千人摘除阑尾,而且似乎毫无问题。尽管它似乎并非是人体必需的,但最近的研究称阑尾或许用于储存有益菌。

达尔文点:检查一下你耳朵上部的内侧有没有一个小突起。大约10%的人拥有这种小突起,也就是所谓的达尔文点或者说达尔文结节,这是因为达尔文最早发现了它。这个突起最有可能源于一位拥有折叠耳朵的遥远祖先。

体毛:我们现在并不需要长满毛发的腿或者其它身体部分来保持温暖。此外即使你的体毛很严重,它们也比不上一条毛毯或者皮质大衣。

半月皱襞:许多人都认为位于眼角内角的这个小褶皱是第三眼睑的残留。这些第三眼睑,也就是瞬膜通常发现于鸟类、爬行动物和两栖动物眼睛中,但我们的祖先似乎也拥有这种构造。现在它们仍然拥有部分功能,比如说帮你排出眼泪,清除眼睛中的异物。

!评论内容需包含中文